The Upgrade – A Case By Dr. Manouchehr Kiaei



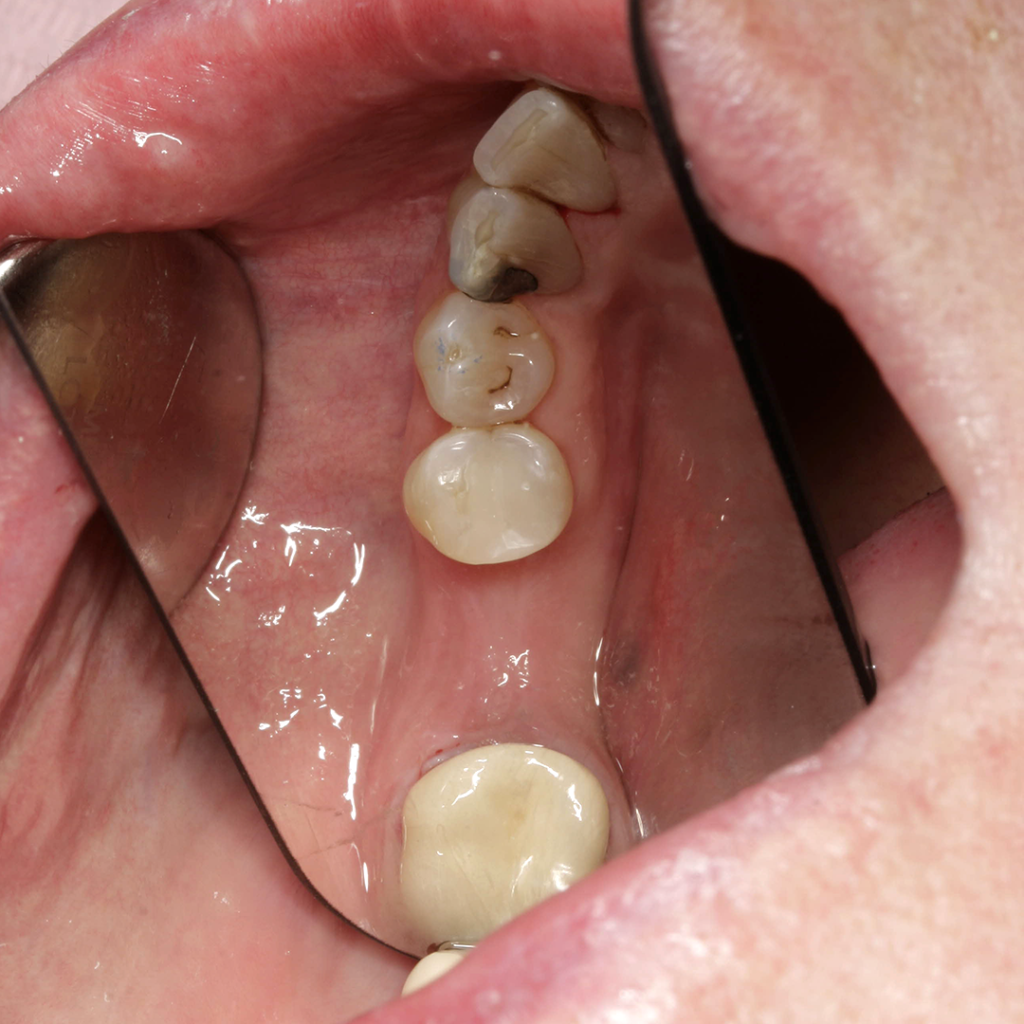
This clinical case involves a 75-year-old female patient who presented for her annual checkup. During the examination, secondary caries were detected on tooth #35. The existing composite filling was removed, along with the surrounding decay, to ensure complete removal of the compromised tissue.
A matrix was then placed, a wedge was not necessary due to the absence of an adjacent tooth. The cavity was subsequently filled slightly in excess with Predicta Bulk composite material (Parkell), shade A2/B2.
After the restoration was completed, the final result was polished to achieve a smooth and functional surface.
Dental restorations present potential for microgaps at the interface between the material and natural tissues, which can occur due to shrinkage or other factors. The composite material used for this case has bioactive properties and may function as a reservoir for calcium phosphate ions, promoting the formation of new apatite crystals. This property, known as “recharge”, is an innovation in modern composite materials, as it was previously associated only with glass ionomer or compomer restorations that are generally not very resistant to wear.


This recharge ability offers a significant advantage, as it can enhance the longevity and functional performance of the composite material. Coupled with the enhanced resistance to wear associated with composites, the bioactive feature is an additional benefit for this new generation of materials, improving their overall durability and clinical outcomes.
